Toxoplasmosis en gatos: causas, síntomas y tratamiento

La toxoplasmosis en gatos es una enfermedad parasitaria muy frecuente causada por el protozoo Toxoplasma gondii. Normalmente no es una dolencia grave, e incluso puede llegar a no provocar ningún síntoma, pero hay ocasiones en las que sí trae consecuencias más serias e incluso fatales. Las gatas preñadas y los gatitos recién nacidos, sin ir más lejos, son especialmente vulnerables.
Guía completa sobre la toxoplasmosis en gatos: todo lo que debes saber
En este artículo te contaremos todo lo que hay que saber sobre esta enfermedad: causas, formas de transmisión, posibles síntomas y tratamiento.
También te hablaremos de la posibilidad de que la toxoplasmosis en gatos se transmita a los humanos, incluidas las mujeres embarazadas. Sigue leyendo para conocer a fondo la toxoplasmosis y sus riesgos.
¿Qué es la toxoplasmosis en gatos?
La toxoplasmosis es una parasitosis, es decir, una enfermedad infecciosa causada por un parásito. En este caso el culpable es el Toxoplasma gondii, un protozoo que puede afectar a muchos animales diferentes, humanos incluidos, pero cuyo hospedador definitivo son varias especies de felinos, entre ellas el gato doméstico.
Cabe mencionar que los protozoos son una fuente habitual de parasitosis. Por ejemplo, también son la causa de la leishmaniosis canina, otra enfermedad muy habitual.
Dentro del cuerpo del gato (solo ahí, nunca en los hospedadores intermedios), el parásito pasa por una fase de reproducción sexual que da lugar a la formación de ooquistes. Podemos considerarlos sacos de huevos que se eliminan a través de las heces y sirven para que el protozoo llegue a nuevos huéspedes cuando estos los ingieren.
La toxoplasmosis, que es la enfermedad que causa la presencia de este parásito, es más común en gatos callejeros y silvestres que en felinos domésticos, pero, aun así, tiene una prevalencia elevada. Según los estudios que se realizan cada cierto tiempo, aproximadamente entre un 20 y un 60% de los felinos españoles tienen o han tenido presencia de Toxoplasma gondii en sus cuerpos.
De todos modos, hay que diferenciar entre la presencia del parásito y una toxoplasmosis con manifestaciones clínicas. Y es que, a pesar de la alta prevalencia de este protozoo, los casos en los que el gato realmente desarrolla la enfermedad son relativamente infrecuentes. En la mayor parte de los casos, pues, no hablaríamos de toxoplasmosis sino de infección por toxoplasma.
La toxoplasmosis y sus síntomas suelen aparecer cuando el sistema inmunológico del gato está comprometido o aún no ha acabado de desarrollarse. Ese es el motivo por el que la toxoplasmosis es más frecuente en gatitos, gatos jóvenes y, de forma oportunista, en felinos que sufren otros problemas de salud (leucemia, virus de la inmunodeficiencia felina, etc.).

¿Cómo se transmite la toxoplasmosis en gatos? Contagio y ciclo vital del parásito
El ciclo biológico de la Toxoplasma gondii, y dentro de él su forma de transmisión, se desarrolla de la siguiente forma:
- En primer lugar, la Toxoplasma gondii habitualmente llega al animal cuando este ingiere los organismos presentes en los ooquistes del tejido del huésped anterior. La transmisión también puede producirse al beber agua contaminada o tener contacto con heces infectadas.
- Dentro del cuerpo del gato, la capa protectora que envuelve los quistes se disuelve y los organismos se liberan. Después atraviesan la pared intestinal, se diseminan por todo el cuerpo (ciclo extraintestinal) y se dividen en taquizoitos (son zoitos, u organismos básicos, de multiplicación rápida que forman pseudoquistes en músculos, nervios y otras zonas) y posteriormente bradizoitos (zoitos de multiplicación lenta que principalmente se localizan en el tejido muscular).
- El proceso culmina con la reproducción sexual del parásito (ciclo enteroepitelial), tras la que se forman nuevos ooquistes que saldrán del cuerpo con las heces.
- En las heces, los ooquistes pasan por un proceso llamado esporulación , que consiste en la formación de organismos infecciosos (esporozoitos) y dura entre 2 y 5 días. Hasta que no aparezcan los esporozoitos las heces no serán infecciosas.

Un gato infestado por la Toxoplasma gondii empezará a excretar ooquistes entre 3 y 10 días después de la ingesta o el contacto con los tejidos o heces contaminadas. Durante las 3 semanas posteriores a la infección, el animal liberará millones de estos huevos.
Pasadas esas tres semanas, el sistema inmunológico del gato reaccionará y detendrá la formación de taquizoitos y la liberación de ooquistes. Quedarán activos los bradizoitos, formas de replicación lenta del parásito contenidas en quistes repartidos por todo el cuerpo.
Además de mediante el contacto con heces con ooquistes y el consumo de carne infestada, la Toxoplasma gondii también puede transmitirse mediante transfusiones de sangre infectada, durante la lactancia y, en ciertos casos, de la madre al feto durante el embarazo. Esto último solo es posible si la gata se infecta cuando está preñada, ya que solo los taquizoitos son capaces de traspasar la placenta.
En hospedadores intermedios (ganado, pájaros, roedores, etc.) el parásito pasa por el ciclo extraintestinal, pero no por el enteroepitelial. Es decir, se generan bradizoitos enquistados por el cuerpo, pero no ooquistes.

Toxoplasmosis en gatos: síntomas más habituales
Lo más frecuente es que la toxoplasmosis en gatos sea, como en los humanos, asintomática. Es decir, puede que tu felino esté infectado por el protozoo, pero sin que haya ninguna señal de ello o solo síntomas muy leves.
No obstante, la toxoplasmosis puede tener síntomas más notables cuando el gato se infecta por primera vez, y también tras sucesivas reinfestaciones.
En esos casos, los síntomas específicos de la enfermedad dependerán de la zona o zonas del cuerpo hacia las que se dirijan los parásitos. Los más frecuentes son los siguientes:
- Pérdida de apetito y anorexia.
- Adelgazamiento.
- Letargia.
- Problemas respiratorios.
- Problemas oculares como iritis, neuritis del nervio óptico, uveítis o glaucoma, entre otros.
- Con menor frecuencia, síntomas gastrointestinales (vómitos, diarrea...) y neurológicos.
Los gatitos que se infectan en el vientre de su madre sufren síntomas más graves, hasta el punto de que pueden llegar a nacer muertos o morir al de pocos días. Los gatos inmunodeprimidos también lo pasan peor.

¿La toxoplasmosis puede transmitirse de gatos a humanos?
Los seres humanos son posibles huéspedes intermedios del parásito, igual que los perros. Por lo tanto, sí, la toxoplasmosis en gatos puede transmitirse a los seres humanos y por las mismas vías de contagio:
- Ingesta de carne cruda o mal cocinada que contenga ooquistes.
- Manipulación de carne cruda sin guantes.
- Beber agua no tratada en la que haya presencia de ooquistes.
- Comer frutas o verduras sin lavar que hayan sido cultivadas en tierra contaminada.
- Llevarse las manos a la boca después de haber manipulado tierra con ooquistes.
La transmisión en ningún caso se produce por tocar al gato o jugar con él. Por lo tanto, con un poco de cuidado y la adopción de medidas higiénicas preventivas, el riesgo de contagio es muy bajo.
La toxoplasmosis en seres humanos es una enfermedad muy extendida, hasta el punto de que se calcula que entre un 30 y un 40% de la población mundial la ha pasado. Ser Puede aguda, crónica, sintomática o, casi siempre, asintomática. De hecho, casi todas las personas la sufren como una enfermedad leve o incluso no son conscientes de haberla contraído.
En relación con esta esta enfermedad, la principal preocupación suele estar relacionada con las mujeres embarazadas, dado que llegado el caso el parásito podría transmitirse al feto. Sin embargo, las precauciones en ese caso deberían ser las mismas que las que tomaría cualquier otra persona y el riesgo de infestación es igualmente bajo.

¿Cómo curar la toxoplasmosis en gatos? Diagnóstico y tratamiento
Diagnóstico de la toxoplasmosis
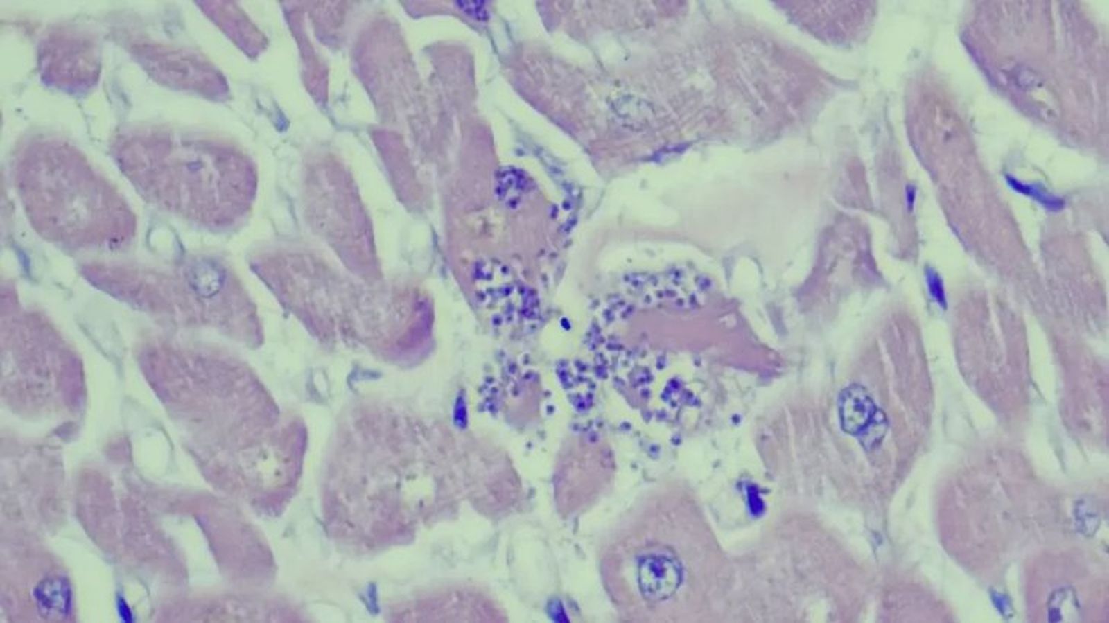
Diagnosticar la toxoplasmosis es complicado y requiere realizar e interpretar varias pruebas: análisis de sangre, serología, PCR y biopsia. Esta última es la prueba más efectiva para confirmar el diagnóstico, ya que permite aislar e identificar al parásito en el cuerpo del gato, pero también es la más invasiva.
También es posible (aunque difícil y poco frecuente) detectar los ooquistes en las heces del gato infestado.
Ante la menor sospecha de que tu gato podría haber contraído la toxoplasmosis, acude cuanto antes a tu veterinario para confirmar el diagnóstico y comenzar a tratarlo lo antes posible.
Tratamiento para la toxoplasmosis en gatos
El tratamiento para la toxoplasmosis felina tiene como objetivo mantener controlado al parásito e impedir su multiplicación, pero no es posible eliminarlo del todo.
Hoy en día, el medicamento elegido para combatir la toxoplasmosis es la clindamicina, que se debe administrar por vía oral en dosis de 10 a 12 mg por kilo del gato, una vez cada 12 horas durante 30 días. Con este tratamiento los síntomas desaparecen en un período de entre 24 y 48 horas.
Cuando la toxoplasmosis ha afectado a otros órganos, como los pulmones, los ojos o el sistema muscular será necesario emplear otros medicamentos (corticoides, antiinflamatorios, etc.) para aliviar el resto de los síntomas. Tu veterinario será quien deberá determinar el tratamiento más indicado dependiendo del grado de afectación y las características de la toxoplasmosis de tu gato.